Veja as últimas novidades nas nossas pesquisas, parcerias e atividades.
No último dia 14 de maio, o Instituto D’Or de Pesquisa e Ensino recebeu a primeira edição brasileira do Biotech...
Na última quarta-feira (9/5), o Instituto D’Or de Pesquisa e Ensino foi admitido como membro institucional da Academia Brasileira de...
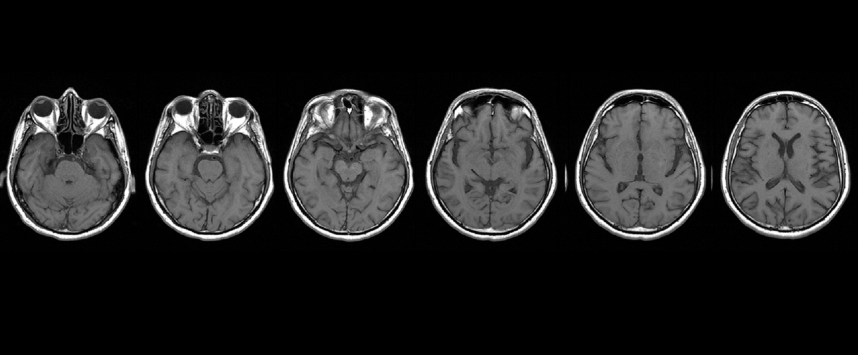
Pesquisadores israelenses desenvolveram uma ferramenta de imagem para diferenciar casos de tumor cerebral que, após o tratamento, estão de fato...
Instituto D'Or de Pesquisa e Ensino oferece novas turmas para capacitação de profissionais na área da saúde.São cursos de Pós-graduação e Extensão....
No Minuto Ciência de hoje, Rogério Emygdio, aluno de doutorado do Instituto D'Or, explica como a multiresistência afeta o tratamento...
Áreas específicas do córtex cerebral são responsáveis pelo processamento de estímulos sexuais e das cócegas. Entender os mecanismos neurais responsáveis...
Estão abertas as inscrições para o primeiro programa de apoio à Divulgação Científica promovido pelo Instituto Serrapilheira. O objetivo é...
INSCRIÇÕES ABERTAS PARA O CURSO DE EXTENSÃO EM SÍNCOPE E DISAUTONOMIAS: UMA VISÃO MULTIDISCIPLINAR.As causas da síncope são muito variadas...
Num quadro de doença neurológica, quanto maior for o dano cerebral sofrido, maior será o impacto sobre a cognição do...
{{ post.resumo }}