Veja as últimas novidades nas nossas pesquisas, parcerias e atividades.
RESULTADO:Confira a lista dos APROVADOS E CLASSIFICADOS no Concurso para Estágio Acadêmico em Medicina Intensiva realizado no dia 4/11/2018.Clique aqui?Escolha...
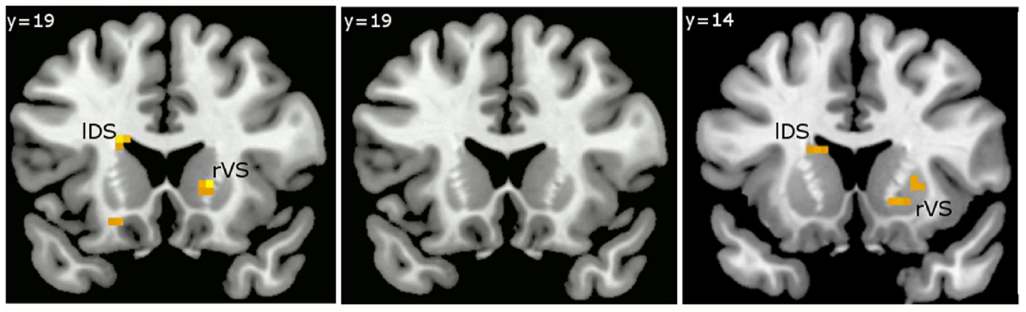
Pesquisa utiliza métodos de neuroimagem para investigar a relação entre o sistema cerebral de recompensa e o comportamento alimentar de...
Candidatos se reuniram no Rio de Janeiro no último domingo para disputar 95 vagas em nove hospitais da Rede D’Or...
Foram recebidos pela coordenação do Processo Seletivo para Estágio Acadêmico em Medicina Intensiva, 4 pedidos de recursos referentes a prova...
Confira os gabaritos da prova para o Concurso de Estágio em Medicina Intensiva 2019 do IDOR, realizada em 04/11/2018:GABARITO PROVA AGABARITO PROVA BRECURSOS:- Os...
Palestra no IDOR discute a interface entre a psiquiatria ea neurociência, e como podemos avançar nessa área de estudo.?Depressão, esquizofrenia,...
Veja as chamadas abertas do CNPq, FAPERJ e mais.??Apoio à cooperação internacionalBrasil e Suíça, por meio do CNPq e da...
Tese de doutorado investiga a capacidade que o cérebro humano tem de ser treinado e de se adaptar a situações...
Diretor de Anatomia Patológica da Rede D’Or falou sobre a importância de conjugar o conhecimento tradicional e já consolidado às...
{{ post.resumo }}